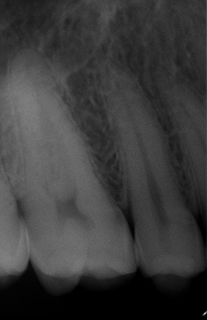
Radiologia. Las radiografías dentales son un tipo de imagen de la cavidad oral, en la que podemos ver todas las estructuras que la componen.
Los rayos X son una forma de radiación electromagnética de alta energía y penetran el cuerpo para formar una imagen en una película o en una pantalla.
Ésta dosis de radiación es mínima ya que utilizamos radiovisiografía digital, que nos permite disminuirla al máximo.
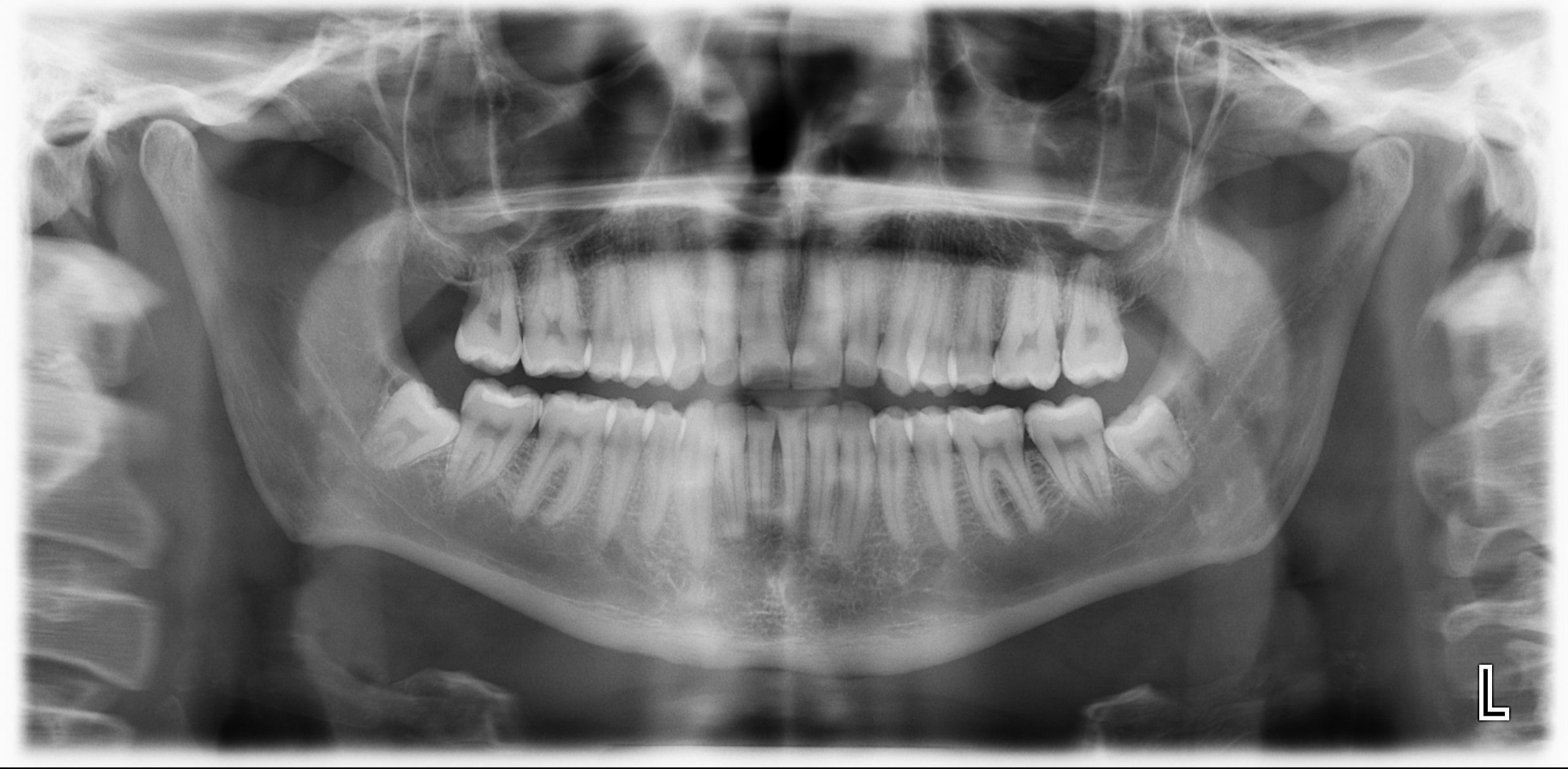
En radiologia, hay dos tipos principalmente, intraorales y extraorales.
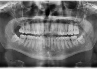
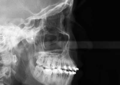
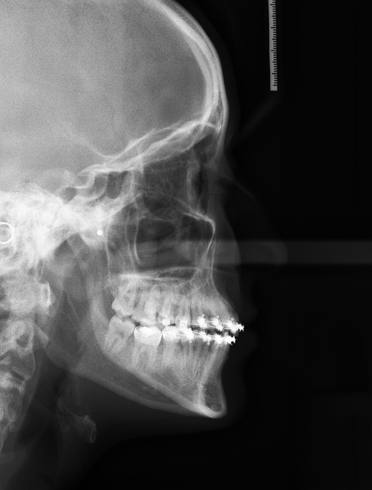
Las intraorales son las radiografías de un conjunto de dientes o un diente en concreto, mientras que las extraorales son la Ortopantomografía muy utilizada para diferentes diagnósticos y la Teleradiografía Lateral de Cráneo para estudios de ortodoncia.
En la ortopantomografía o panorámica vemos todas las estructuras de la cavidad oral

